Ezen az oldalon kezeléseink előtt és után készült fotókat láthat, melyeket rövid magyarázó szöveggel láttunk el.
Ezek az esettanulmányok betegeink beleegyezésével készültek és azért lettek publikálva, hogy láthatóvá váljon, milyen alapos, precíz, klassz, tuti munkát végzünk.
Páciensünk kifejezett kérése az volt, hogy a bal alsó 4-es foga helyére implantációs fogpótlást készítsünk. Első képen a titán fej felcsavarozása látható, a következő képen a fém-porcelán korona behelyezése utáni állapot.

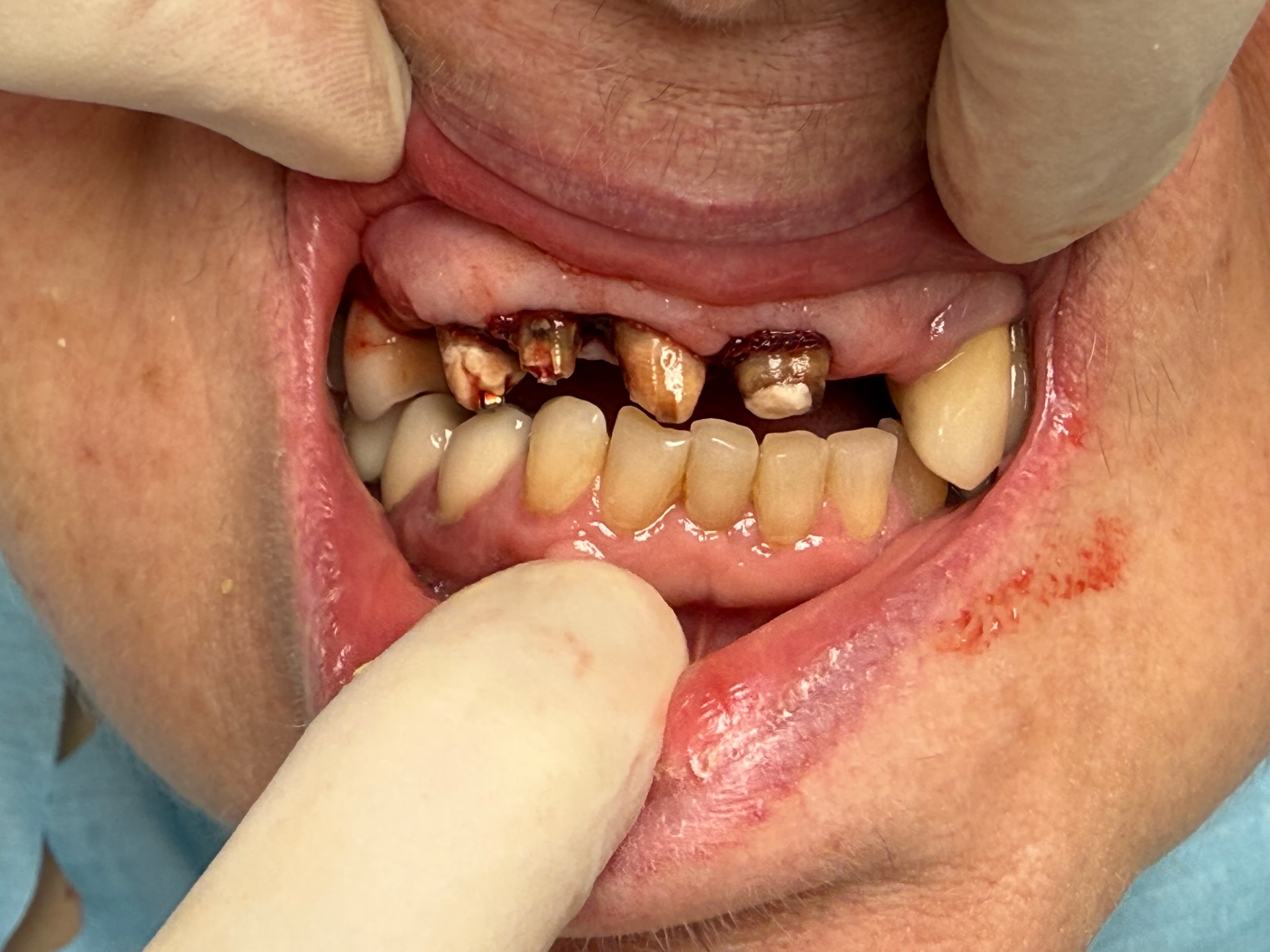
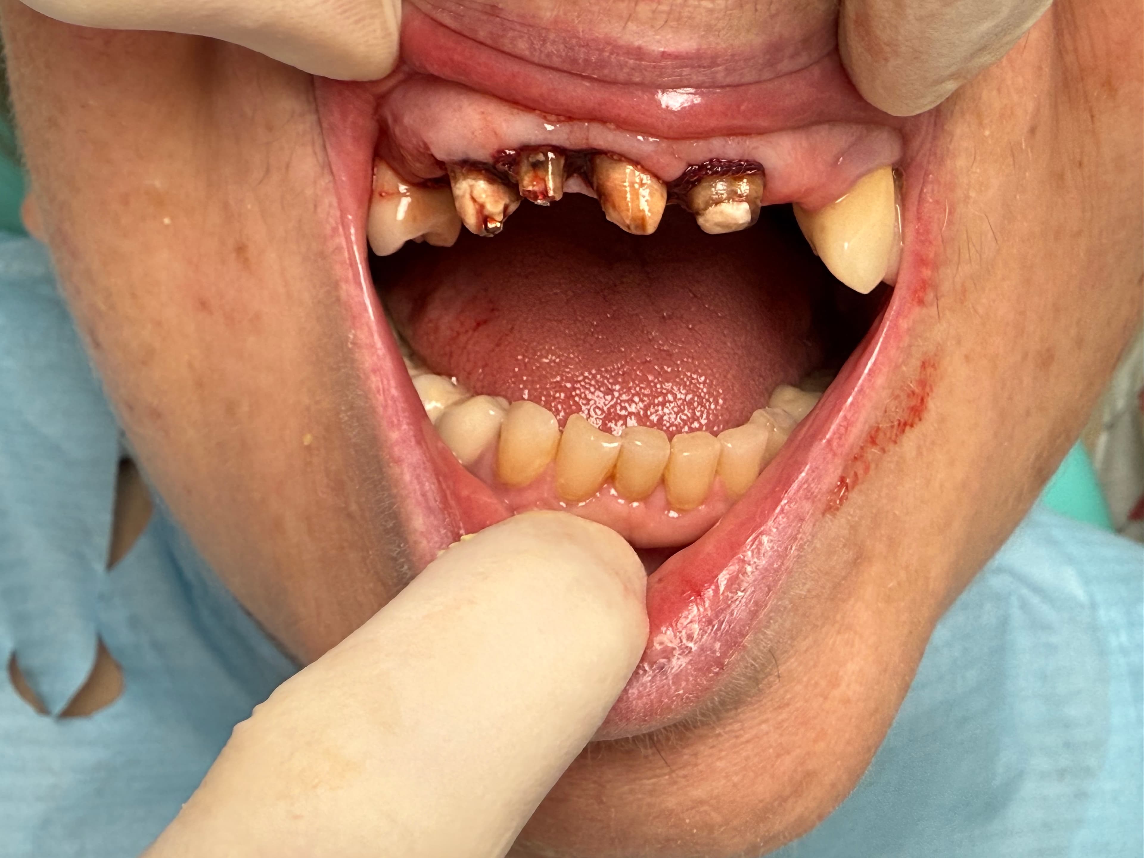
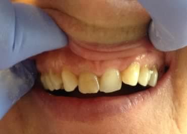
Fogágybeteg páciensünk fogeltávolításokon és arcüregemelő-, és csontszélesítő műtéteken esett át. Fél évvel később helyeztünk be implantátumokat. Majd újabb hat hónap múlva fém-porcelán ragasztott hidat készítettünk.

Hölgy páciensünk felső front fogai esztétikai helyreállítását kérte. Négy cirkónium korona elkészítését javasoltuk számára.

Páciensünk elégedetlen volt mosolyával, színével, illetve fogai tengelyállásával. Megoldásként javasoltuk neki hat darab fronthéj elkészítését.
